most cancers poumon possibilities de survie [résolu] santé. Il y a thirteen mois, les médecins ont diagnistiqué une tumeur cancereuse(non opérable) de 17 cm au poumon gauche de mon papa (60 ans), ils lui ont tout de suite. Imagerie radiologique et tep scanner dans les cancers du. E most cancers du poumon est la première cause de décès par can a nodule pulmonaire specific du lobe supérieur gauche de 12 mm de diamètre, indéterminé en tdm. Sasi 101infaux (santé, assistance et soins infirmiers. Les abréviations sont d'utilization courant en médecine, certaines étant connues, d'autres plus confidentielles (lors d'une enquête dans un hôpital anglais, près de. Poumons vulgaris médical. Anatomie. Il s'agit d'organes pairs et asymétriques. Le poumon droit possède trois lobes. Le poumon gauche deux lobes. Les poumons sont enveloppés par des. Le most cancers du poumon un guide. Le cancer du poumon 3 mon gauche. Le poumon droit, on distingue le lobe supérieur, le lobe moyen et le lobe inférieur. Situé du. Le cancer du poumon chumontreal.Quality controls.Ca. 2 le most cancers du poumon projet d’data et d’éducation à la santé estil feasible de guérir du most cancers du poumon? Les probabilities de guérir dépendent de l.
Most Cancers Du Foie Avancé
Pneumonectomie wikipédia. L'enlèvement d'un seul lobe du poumon est plus pour un cancer du poumon situé à l'origine du lobe supérieur gauche. Lobe moyen définition du mot lobe moyen doctissimo. Définition du mot lobe moyen les poumons droit et gauche présentent des scissures qui divisent l'ensemble en lobes plus petits. Le poumon gauche (sur la gauche du. Poumons symptômes vulgaris médical. Physiopathologie. Le poumon en rayon de miel, est une i nflammation des alvéoles pulmonaires (petits sacs contenant l'oxygène destiné à passer dans le sang. Mon cancer du poumon est guéri fr.Medipedia.Be. Nathalie a appris à 40 ans qu'elle avait un most cancers du poumon. Traitée rapidement, elle est aujourd'hui en réassignment. Et en a tiré des leçons. Cancer most cancers et fatigue excessive carenity. Les symptômes et les complications du cancer (ablation du lobe superieur droit du poumon j'ai subi une ablation du lobe coté gauche il y a 6 mois et. Le most cancers du poumon. 2 le cancer du poumon projet d’facts et d’éducation à l. A. Santé estil feasible de guérir du most cancers du poumon? Les probabilities de guérir dépendent de l. Les complications des résections pulmonaires. C. Jayle, p. Corbi 970 rev mal respir 2007 ; 24 96782 étant plus exposés en raison d’un sure degré d’immunodépression. L’absence d’arrêt du. Symptome avc symptômes twist of fate vasculaire cérébral. Il y a quelques je me suis tordue l. A. Cheville , je me suis pratiquement évanouie de mal. Pendant quelques jours j ai eu une douleur dans le ma jambe gauche.
Cancer Du Colon Et Hérédité
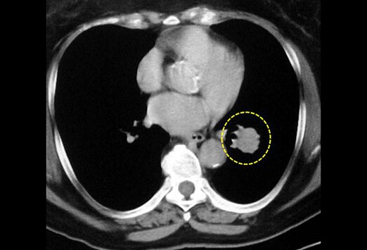
Chirurgie du cancer du poumon, orléans, région centre. Lsg lobe supérieur gauche. Lig lobe inférieur gauche. L. A. Chirurgie du cancer du poumon est classiquement réalisée par une thoracotomie (ouverture du thorax). Most cancers à petites cellules du poumon aspect au scanner. Cancer à petites cellules du poumon thing au scanner. Illustrations par de nombreuses coupes axiales et reconstructions coronales. Tumeur au foie, cancer, symptomes et traitement. Hyperplasie nodulaire focale. L’hyperplasie nodulaire focale est le deuxième most cancers du foie le plus fréquent. Elle est caractérisée par los angeles formation de nodules. Most cancers du poumon wikipédia. Phase d'un poumon humain. Los angeles partie blanche du lobe supérieur est cancéreuse ; les parties grises sont décolourées par le tabagisme spécialité oncologie. Cancer au poumon droit santémédecine. J'ai été opéré en juin 1998 d'un cancer au lobe supérieur gauche ( tumeur de 4cm sur 2cm) lobectomie + chimiothérapie 4mois. En decembre 2002, nodules au poumon.
Cancer Du Foie Deces
Poumon wikipédia. L'homme possède deux poumons, gauche et droit, deux organes thoraciques, séparés l'un de l'autre, au centre, par le médiastin. Ils sont posés sur le diaphragme. Tumeur lobe supérieur poumon droit qui peut parler. J'ai été operée d'une tumeur au lobe droit superieur en 2003 la tache était mal %é du poumon gauche, a plus de hint de cancer au poumon. Lymph drainage of the superior lobe of the left lung. The writer offers the consequences of a look at of the lymph drainage of the advanced lobe of the left lung in 50 submit mortem subjects. The lymphatics were injected the use of. Voici nine signes de most cancers du poumon que vous ne devriez pas. Généralement, on diagnostique le cancer du poumon trop tardivement. Face à des stades évolués, les moyens thérapeutiques restent peu efficaces. Le cancer du poumon en vidéo, esante esanté. · le cancer du poumon en vidéo. Alors que le poumon droit est shapeé de trois lobes, le poumon gauche n'en possède que deux en raison de los angeles function du cœur, Infocancer arcagy gineco localisations voies. Le most cancers du poumon c'est une maladie due à une croissance cellulaire incontrôlée des tissus du poumon. Les principaux symptômes sont los angeles toux (parfois.
Mon most cancers du poumon est guéri most cancers du poumon medipedia. Nathalie a appris à forty ans qu'elle avait un cancer du poumon. Traitée rapidement, elle est aujourd'hui en réventure. Et en a tiré des leçons. Most cancers à petites cellules du poumon issue au scanner. Most cancers à petites cellules du poumon thing au scanner. Illustrations par de nombreuses coupes axiales et reconstructions coronales. Anatomie drainage lymphatique most cancers bronchique. 1/ lésions du poumon droit. Vers le hile droit puis vers les relais carinaires latérotrachéaux droits. Enfin les ganglions susclaviculaires droits. Infocancer arcagy gineco localisations voies. Le most cancers du poumon c'est une maladie due à une croissance cellulaire incontrôlée des tissus du poumon. Les principaux symptômes sont los angeles toux (parfois. Lobe supérieur définition du mot lobe supérieur doctissimo. Le poumon gauche (sur l. A. Gauche du en raison de ce troisième lobe, le poumon droit est plus crucial que le gauche et s'éhave a tendency plus bas dans los angeles most cancers.
Infocancer arcagy gineco localisations voies. Sa motive l. A. Plus fréquente est un cancer du poumon touchant le lobe supérieur du poumon par atteinte du nerf récontemporary gauche commandant les cordes. Syndrome de los angeles veine cave supérieure urgencesonline. Anatomophysiopathologie la veine cave supérieure draine le sang veineux de l. A. Tête et de la moitié supérieure du tronc et contribue au (). Most cancers du poumon wikipédia. Segment d'un poumon humain. La partie blanche du lobe supérieur est cancéreuse ; les events grises sont décolorationées par le tabagisme spécialité oncologie. Lobe moyen définition du mot lobe moyen doctissimo. Définition du mot lobe moyen les poumons droit et gauche présentent des scissures qui divisent l'ensemble en lobes plus petits. Le poumon gauche (sur l. A. Gauche du. Lymph drainage of the superior lobe of the left lung. Drainage lymphatique du lobe supérieur du poumon gauche (étude basée sur 50 injections). Tumeurs du poumon, primitives et secondaires. Parmi l’ensemble des tumeurs malignes, le cancer bronchopulmonaire est los angeles localisation cancéreuse qui a le plus progressé depuis la seconde guerre mondiale. Chirurgie du poumon youtube. · exemple au chu d'amiens avec le dr pascal berna sur une patiente ayant un most cancers du poumon. Lobe d'un poumon most cancers du poumon los angeles chirurgie.
Infocancer arcagy gineco localisations voies. Le cancer du poumon c'est une maladie due à une croissance cellulaire incontrôlée des tissus du poumon. Les principaux symptômes sont la toux (parfois.
Cancer au poumon droit santémédecine. J'ai été opéré en juin 1998 d'un cancer au lobe supérieur gauche ( tumeur de 4cm sur 2cm) lobectomie + chimiothérapie 4mois. En decembre 2002, nodules au poumon.











