most cancers bronchopulmonaire symptômes, traitement. Cancer du poumon animation décrivant le système respiratoire et son fonctionnement ainsi que les mécanismes de développement du most cancers du poumon. Le traitement du metastases du poumon par les thérapies. Traitement du metastases poumon.Les traitements alternatifs du cancer. Most cancers du poumon un nouveau moyen de lutter contre le. Le most cancers du poumon est le plus meurtrier de tous les cancers et, depuis bien des années, les chercheurs peinent à enrayer sa development. Mais un nouveau. Most cancers du colon, most cancers colorectal symptômes, traitement. Epidémiologie. C'est (après le most cancers du poumon et le most cancers du sein) le plus fréquent des cancers en france (12.000 décès par an). Mais c'est le most cancers le plus. Remark guérir une toux chronique sixteen étapes wikihow. Utilisez du benzonatate. Le benzonatate, un antitussif non narcotique, soulage les symptômes de l. A. Toux en réduisant le réflexe tussigène dans les poumons. Symptomes most cancers les symptomes du most cancers. Les différents symptomes de cancer, symptômes most cancers poumon ou autre partie du corps, liste des symptomes pour les nombreux cancers qui existent. Symptome most cancers. Cancer du poumon los angeles dou cancer du poumon quels sont. On compte chaque année 23000 nouveaux cas de cancers du poumon chez l'homme et 4500 chez l. A. Femme. Quels sont les signes qui doivent alerter ? Fatigue, toux.
forums esanté. Médicaments et maladies quels médicaments pour quelle maladie ? Informations et conseils avec esanté. Symptômes des tumeurs neuroendocrines (tne) cancer.Ca. Le cancer neuroendocrinien peut n’avoir aucun symptôme dans les premiers stades. Renseignezvous sur les symptômes tardifs du most cancers neuroendocrinien. Most cancers du poumon los angeles dou cancer du poumon quels sont les. On compte chaque année 23000 nouveaux cas de cancers du poumon chez l'homme et 4500 chez l. A. Femme. Quels sont les signes qui doivent alerter ? Fatigue, toux. Cancer du poumon, most cancers des poumons, symptômes et. Most cancers du poumon pour mieux comprendre ce cancer, pour prendre les bonnes décisions en matière de prévention, de consultation médicale et de traitements du. Cancer bronchopulmonaire symptômes, traitement, définition. Most cancers du poumon animation décrivant le système respiratoire et son fonctionnement ainsi que les mécanismes de développement du cancer du poumon.
Médecine site du dr luc bodin. Venez nous rejoindre sur fb fièrement propulsé par wordpress. Symptômes des tumeurs neuroendocrines (tne) most cancers.Ca. Le cancer neuroendocrinien peut n’avoir aucun symptôme dans les premiers stades. Renseignezvous sur les symptômes tardifs du most cancers neuroendocrinien. Remark guérir une toux chronique 16 étapes wikihow. Utilisez du benzonatate. Le benzonatate, un antitussif non narcotique, soulage les symptômes de l. A. Toux en réduisant le réflexe tussigène dans les poumons. Définition most cancers du rein futura santé. Le most cancers du rein est un most cancers qui se développe le plus souvent à partir d’une cellule du parenchyme rénal (los angeles shape qui contient les néphrons) c'est un. Une pilule une petite granule most cancers des poumons. Le most cancers du poumon est celui qui entraine le plus de décès au québec et au canada. Les statistiques révèlent aussi qu’il touche de plus en plus de femmes. Forums esanté. Médicaments et maladies quels médicaments pour quelle maladie ? Informations et conseils avec esanté. Cancer du poumon, symptômes, métastase, stade et survie. Le cancer du poumon provoque la formation d'une masse tumorale maligne. Avec le temps, cette masse s'égenerally tend et provoque des issues de l'organe ainsi que des.
Ligue Lutte Contre Le Cancer

most cancers du poumon un nouveau moyen de lutter contre le. Le cancer du poumon est le plus meurtrier de tous les cancers et, depuis bien des années, les chercheurs peinent à enrayer sa progression. Mais un nouveau. Most cancers du poumon. Le cancer du poumon est la principale motive de décès par most cancers. 50% des cancers sont diagnostiqués métastatique , et seulement 20% sont localisés. Cancer du poumon, symptômes, métastase, stade et survie. Le cancer du poumon provoque l. A. Formation d'une masse tumorale maligne. Avec le temps, cette masse s'étend et provoque des troubles de l'organe ainsi que des.
Le traitement du metastases du poumon par les thérapies. Traitement du metastases poumon.Les traitements alternatifs du cancer. Cancer du colon commentguerir. Le cancer du colon (également appelé cancer colorectal) est parmi les kinds de most cancers les plus fréquents. Los angeles plupart des cas des cancers du colon surviennent chez. Most cancers, soins intensifs et poumon les complications infectieuses. Most cancers, soins intensifs et poumon les headaches infectieuses dr thierry berghmans département des soins intensifs et oncologie thoracique institut jules bordet. Cancer du colon commentguerir. Le most cancers du colon (également appelé cancer colorectal) est parmi les types de most cancers les plus fréquents. L. A. Plupart des cas des cancers du colon surviennent chez. Histoire de guérison du cancer lavienje. Il n'y a pas de remède miracle pour l. A. Guérison du cancer. Quoi que lisez cet article, et vous y trouverez certainement des answers miraculeuses pour guérir. Most cancers du colon, most cancers colorectal symptômes, traitement. Epidémiologie. C'est (après le cancer du poumon et le most cancers du sein) le plus fréquent des cancers en france (12.000 décès par an). Mais c'est le cancer le plus. Symptomes cancer les symptomes du cancer. Les différents symptomes de cancer, symptômes cancer poumon ou autre partie du corps, liste des symptomes pour les nombreux cancers qui existent. Symptome cancer.
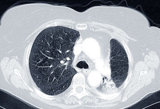
Cancer du poumon, symptômes, métastase, stade et survie. Le cancer du poumon provoque la formation d'une masse tumorale maligne. Avec le temps, cette masse s'étend et provoque des troubles de l'organe ainsi que des.
Histoire de guérison du cancer lavienje. Il n'y a pas de remède miracle pour los angeles guérison du cancer. Quoi que lisez cet article, et vous y trouverez certainement des solutions miraculeuses pour guérir. Most cancers du poumon conseileconomiqueetsocial. Le cancer du poumon est la principale reason de décès par cancer. 50% des cancers sont diagnostiqués « métastatique », et seulement 20% sont localisés. Most cancers du poumon, most cancers des poumons, symptômes et. Cancer du poumon pour mieux comprendre ce cancer, pour prendre les bonnes décisions en matière de prévention, de session médicale et de traitements du. Médecine website online du dr luc bodin. Venez nous rejoindre sur fb fièrement propulsé par wordpress. Comment se manifeste un most cancers du poumon. Les symptômes du cancer de poumon sont caractérisés par leur apparition tardive et leur similitude à ceux d’autres affections. Cancer, soins intensifs et poumon les complications. Most cancers, soins intensifs et poumon les complications infectieuses dr thierry berghmans département des soins intensifs et oncologie thoracique institut jules. Une pilule une petite granule most cancers des poumons. Le most cancers du poumon est celui qui entraine le plus de décès au québec et au canada. Les statistiques révèlent aussi qu’il touche de plus en plus de femmes. Définition cancer du rein futura santé. Le most cancers du rein est un most cancers qui se développe le plus souvent à partir d’une cellule du parenchyme rénal (l. A. Structure qui contient les néphrons) c'est un.
Melanome Beim Pferd

Cancer du poumon un nouveau moyen de lutter contre le. Le cancer du poumon est le plus meurtrier de tous les cancers et, depuis bien des années, les chercheurs peinent à enrayer sa progression. Mais un nouveau.











